Dünya çapında milyonlarca insana bulaşan ve bilim dünyası tarafından vücutta yarattığı tahribat tam olarak anlaşılmayan koronavirüsle ilgili çarpıcı bir açıklama ABD'nin Teksas eyaletinden geldi. Teksas'taki Teksas Teknoloji Üniversitesi Sağlık Bilimleri Merkezi'nde doçent doktor olarak çalışan Britatany Bankhead-Kendall, koronavirüs geçirmiş hastaların akciğer filmini sigara içen bir hasta ve sağlıklı bir bireyinkiyle kıyasladı.
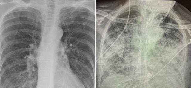
Soldaki görselde sigara içen bir bireyin akciğer filmi görülürken sağda ise koronavirüsü yenmiş bir bireyinki yer alıyor.
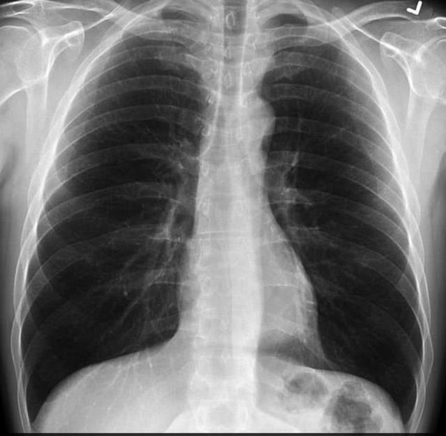
Bankhead-Kendall, kıyaslama yapmak için sağlıklı bir bireyin akciğer filmini de paylaştı.
Soldaki görselde sigara içen bir bireyin akciğer filmi görülürken sağda ise koronavirüsü yenmiş bir bireyinki yer alıyor.Akciğer filminde siyahlar ne kadar fazlaysa o kişinin ciğer kapasitesi ve sağlığı o kadar iyi anlamına geliyor. Beyazlığın artması akciğerin kapasitesinin azaldığı anlamına geliyor.
KORONAVİRÜS HASTALARININ CİĞERLERİ BEMBEYAZ
Röntgen sonuçlarında koronavirüs geçirmiş ve sağlığına kavuşmuş kişilerin ciğerlerindeki hasarın sigara tiryakilerinden çok ama çok daha kötü olduğunu gösteren Bankhead-Kendall, "Sağlıklı bir bireyin röntgen sonucunda siyah alan büyük olur. Bu da o kişinin ciğerlerine alabileceği oksijen seviyesini gösterir. Sigara içenlerde hafif hareler yer alırken koronavirüs hastalarının ciğerleri ise bembeyazdır. Yani bu da koronavirüsü yenenlerde bile akciğer sorunları yaşanabildiğini gösteriyor" dedi.
Bankhead-Kendall, kıyaslama yapmak için sağlıklı bir bireyin akciğer filmini de paylaştı."NEFESLERİ KESİLİYOR HATTA BAYILIYORLAR"
Koronavirüsü yenen kişilerin nefes alma sorunu yaşayabileceğine dikkat çeken Bankhead-Kendall, Twitter üzerinden, "Bunu kimin duyması gerek bilmiyorum fakat koronavirüs geçirmiş bir kişinin akciğerleri, yıllarca sigara içmiş bir tiryakinin ciğerlerinden çok ama çok kötü. Bu insanlar bayılıyor, nefesleri kesiliyor ve benzeri birçok sorun yaşıyorlar" dedi. CBS DFW'ya konuşan Bankhead-Kendall, "Birçok insan ölüm oranlarından ve koronavirüsün öldürücülüğünden bahsediyor fakat bu hastalığı yenenlerin ileride yaşayacağı sorunlar olacak" ifadesini kullandı.









